Réseaux d’investigateurs en soins primaires

I-CaRe - Le réseau Normand

logo

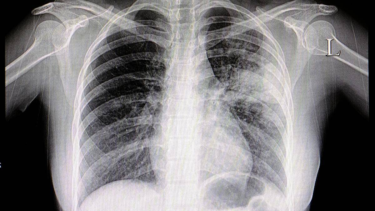
PneumoCAP


PneumoCAP était un projet de recherche national, mené par les départements de médecine générale des universités Paris Descartes et Paris Diderot, qui visait à identifier les caractéristiques (cliniques, biologiques et radiologiques) des pneumonie aigüe communautaire (PAC) à pneumocoque parmi l’ensemble des PAC à radiographie pulmonaire positive prises en charge en médecine générale.

Cette étude était menée dans un contexte de surprescription d’antibiotiques, à la suite d'une étude observationnelle ambulatoire (appelée "CAPA") qui avait montré que, quelle que soit la clinique et les résultats de la radiographie pulmonaire, tous les patients ayant une suspicion de PAC recevaient systématiquement des antibiotiques. Cette étude visait donc à distinguer les PAC qui nécessitaient une antibiothérapie précoce (PAC à pneumocoque à risque d’infection invasive) de celles pour lesquelles une autre stratégie était envisageable.

Comme pour l’étude CAPA, ce projet a obtenu le financement du laboratoire Pfizer qui n’intervenait pas dans le contenu de cette recherche.

Deux publications ont été faites entre 2024 et 2025. Voir les liens dans la page publication des projets nationaux.

Source : www.srlf.org

I-CaRe - Le réseau Normand

Département de Médecine Générale
UFR Santé
22 boulevard Gambetta
76000 ROUEN

© 2026 Réseaux d’investigateurs en soins primaires